





2023年6月16日至17日,由廈門大學附屬心血管病醫院(簡稱廈心)與臺北振興醫院聯合主辦的海峽兩岸心血管介入診療研討會在美麗的海濱城市廈門如期召開。此次會議聚焦目前熱門的結構性心臟病介入治療領域,邀請兩岸多地知名專家及團隊現場演示直播多場疑難復雜手術,涉及主動脈瓣、二尖瓣、三尖瓣等心臟瓣膜病介入治療領域的前沿治療方案和創新醫療器械,累計吸引近4萬人次線上參會,會議反響熱烈。

此次研討會上,由廈門大學附屬心血管病醫院王焱院長親自組建并領銜的結構心團隊也為與會成員帶來了一場高水平的三尖瓣置換手術演示,術中使用由健世科技完全自主創新研發的LuX-Valve Plus經血管三尖瓣置換系統。
接受手術的為一名80歲男性,因“心悸2年,氣喘伴下肢水腫半年”入院。超聲心動提示“極重度三尖瓣反流,右房及右室明顯擴大,右心收縮功能輕度減低,左心收縮功能正常,肺動脈壓力正常”。患者同時合并有“持續性房顫”及“慢性心力衰竭”,病史持續2年,規律口服抗凝及強心、利尿治療治療效果不佳,癥狀持續。經廈心心臟團隊評估后,認為患者三尖瓣極重度反流并伴有心衰表現,長期內科藥物治療效果不佳,且患者高齡、外科手術風險高,因此決定采用微創經頸靜脈LuX-Valve Plus三尖瓣置換系統為患者治療。

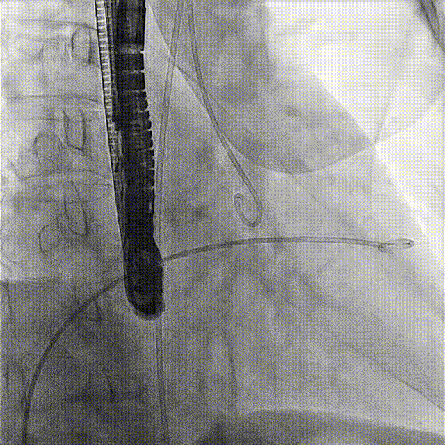
術前DSA

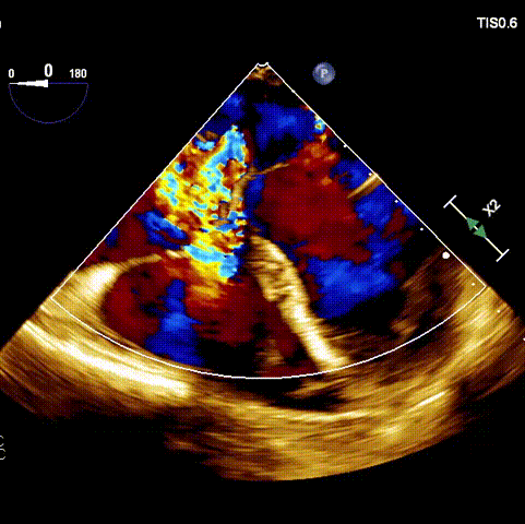
術前超聲
術前經過全面系統的評估后,考慮患者存在高齡、心功能減低、三尖瓣瓣環重度擴張(三尖瓣極重度反流)等高危因素,因此廈心結構心團隊聯合超聲心動、麻醉及護理團隊,制定了詳盡的圍術期治療方案及術中治療難點預案。術中,由王焱院長主刀,在蘇茂龍主任超聲心動團隊的輔助,上海市第一人民醫院陸方林主任的協助下,僅用時30分鐘,即順利完成了三尖瓣原位置換的手術。術中患者血流動力學穩定,術后即刻顯示LuX-Valve Plus瓣膜位置良好,固定穩定,瓣膜功能正常,無瓣周漏。

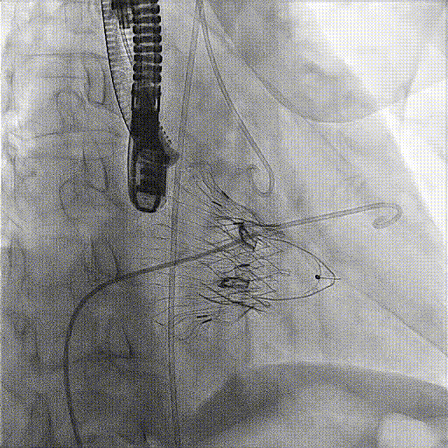
術后DSA

術后超聲
觀摩手術的臺灣專家對此次手術過程及LuX-Valve Plus器械展示出的優異性能表示贊譽,表示與傳統外科三尖瓣治療方式相比,LuX-Valve Plus介入三尖瓣治療創傷小,安全性高,手術時間短,術中術后患者血流動力學可平穩過渡;且與現有的三尖瓣緣對緣修復手術相比,LuX-Valve Plus原位三尖瓣置換對術中影像依賴度相對更低,操作更加便捷,并且憑借獨特的錨定及瓣葉固定方式可以最大程度的避免高度房室傳導阻滯的發生,同時也擁有較為豐富的產品規格,可以適應不同三尖瓣瓣環擴張程度的患者,自適應防漏環還可以有效預防瓣周漏的發生,產品的諸多特點讓與會專家再次對國產原創醫療器械刮目相看,并期望可以早日引入海峽對岸,讓臺灣地區的患者也可以使用到祖國的原創器械,救治更多的患者。
研討會展示的高精尖的介入手術治療方案和國產創新器械的優異表現得到臺灣與會專家的高度關注和稱贊。其中來自臺北振興醫院的李永在教授和臺北榮民總醫院宋思賢教授表示,此次參會除了切身感受到在王焱院長的帶領下,廈心年輕的結構心團隊的精湛技藝、創新與拼搏精神,廈心醫院整體突飛猛進的發展外,更被近些年以廈心醫院、健世科技為縮影,大陸地區在心臟瓣膜病介入治療領域展現出的創新能力和絕對實力所折服。會議不僅為兩岸醫療專家在結構性心臟病介入治療搭建了高水平的溝通交流平臺,更讓臺灣醫療同行看到了近幾年大陸地區衛生健康事業的飛速發展,為未來更加緊密深入的合作交流創造了契機。