





近日,廣東省人民醫院郭惠明、劉健教授,攜同心外科郭海江博士、張煜源、烑星星博士,心內科謝年謹、劉方舟教授,麻醉科柴云飛、曹忠明教授,在超聲科費洪文、朱偉教授全程術中超聲引導下,成功為一例Ⅱ型DMR患者完成二尖瓣緣對緣修復(TEER)手術,這也是健世科技二尖瓣緣對緣修復產品——JensClip經導管瓣膜夾在華南地區的首例植入。患者術后二尖瓣反流顯著改善,身體恢復良好,手術獲得圓滿成功。

接受治療的是一例器質性重度二尖瓣反流(DMR)患者,主訴“反復活動后胸悶,氣促3年余”。術前超聲顯示,雙房增大,二尖瓣脫垂伴重度反流,輕度三尖瓣反流,輕度肺高壓,升主動脈增寬。手術經股靜脈-房間隔入路,采用全身麻醉插管,在TEE和DSA引導下完成房間隔穿刺。置入JensClip瓣膜夾系統后,在左房調整瓣膜夾的位置和軸向,后進入左室,在TEE引導下捕捉二尖瓣前后瓣葉,并關閉瓣膜夾。經TEE反復確認手術效果后最終鎖定并釋放瓣膜夾。術后即刻超聲顯示瓣膜夾位置穩定,功能良好,術前二尖瓣反流4+,術后0反流,肺靜脈逆流和左房壓都顯著好轉,手術圓滿成功(以上數據都來源于醫院的臨床記錄)。術后患者狀態良好,目前已安排出院。


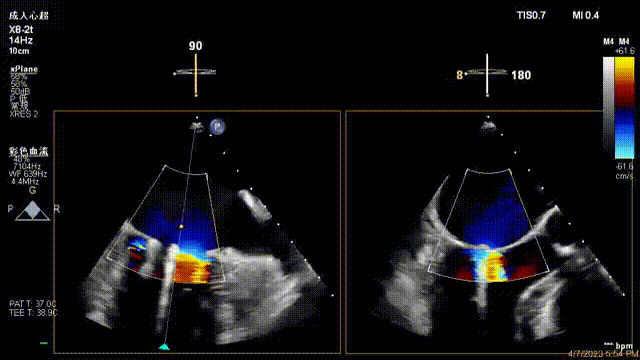
術前超聲提示二尖瓣重度反流


術后超聲顯示二尖瓣反流消失,瓣膜夾穩定

出院前隨訪超聲
此次手術采用的JensClip經導管瓣膜夾系統是寧波健世科技股份有限公司(下稱“健世科技”)自主研發的創新經股靜脈入路的介入二尖瓣緣對緣修復產品,采用獨特的機械鎖閉和一體式解脫結構設計,具有瓣葉單獨捕捉、分別夾合、可靠鎖固、一鍵解脫、雙向可回收等特點。JensClip經導管瓣膜夾系統機械性能優越,操作可重復性高,為術者提供更多機會達到卓越效果。產品核心傳動及鎖定結構設計技術已申請了多項中國和國際專利,相信未來JensClip為二尖瓣反流治療提供又一有效新選擇。
據悉,目前健世科技LuX-Valve經導管三尖瓣置換系統已經完成確證性臨床研究全部入組及一年隨訪;Ken-Valve經導管主動脈瓣置換系統已經完成確證性臨床研究全部入組。繼JensClip經導管瓣膜夾系統、LuX-Valve Plus第二代經血管三尖瓣置換系統之后,健世科技還有一系列國產創新產品陸續進入注冊臨床,造福更多的患者。