





近日,西班牙阿爾瓦羅昆奎羅醫院 (Hospital Álvaro Cunqueiro)Rodrigo Estévez-Loureiro教授團隊成功應用LuX-Valve Plus經血管三尖瓣置換系統為一例因三尖瓣大量反流導致的右心衰竭患者完成三尖瓣置換手術,術后超聲顯示人工三尖瓣植入穩定,瓣葉啟閉良好,僅殘余微量瓣周漏。患者在手術室即刻拔除氣管插管,血流動力學改善顯著。此次手術也是LuX-Valve Plus于西班牙的首次臨床應用,治療效果優異。



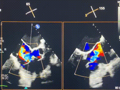
術前超聲提示重度三尖瓣反流
接受本次LuX-Valve Plus治療的是一位三尖瓣重度反流的高齡女性,患者早前曾由于二尖瓣疾病行經導管二尖瓣置換術,植入Tendyne瓣膜一枚,且有ICD植入史。術前CT分析結果顯示,瓣環大小為47.6mm,血管無明顯迂曲和鈣化。由于患者三尖瓣解剖結構復雜,二尖瓣位人工瓣膜造成的超聲偽影和ICD導線的干擾使得歐洲沒有其他合適的商業化和臨床試驗的產品可以對其進行治療。經過Rodrigo Estévez-Loureiro教授團隊的詳盡術前評估,認為LuX-Valve Plus經導管三尖瓣置換系統可以對該患者進行有效的治療。因此,Rodrigo Estévez-Loureiro教授團隊最終決定使用這一中國創新器械為患者進行手術。法國波爾多里爾大學附屬醫院的Thomas Modine教授與加拿大圣保羅醫院的Anson Cheung教授全程線下指導本次手術。

術中輸送器在超聲引導下調整位置
手術在全麻狀態下進行。術者采用經右側頸靜脈入路的方式將輸送器送入患者心臟內,在TEE及DSA引導下調整輸送器頭端角度,使得輸送器與三尖瓣瓣環平面垂直。在輸送器進入右心室后釋放室間隔錨定裝置,而后釋放瓣葉夾持件(2個耳片結構)成垂直狀態。在TEE及DSA確定夾持件固定至三尖瓣葉根部且位于右室側后釋放人工瓣心房側盤片。隨后調整瓣膜同軸性以及室間隔錨定件位置(貼合室間隔),前推藏針管并固定,進而釋放室間隔錨定裝置,并再次確認瓣膜位置、穩定性及同軸性,合攏輸送鞘后撤出輸送器,完成LuX-Valve Plus人工三尖瓣瓣膜的植入,僅殘余微量瓣周漏。且經手術中心電生理團隊評估,病人的起搏器和ICD功能沒有受到影響。

術后DSA顯示Lux-Valve Plus與Tendyne和ICD無相互影響


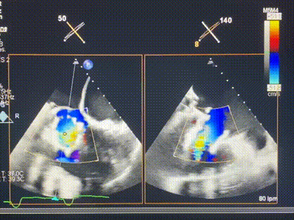
術后超聲顯示僅殘余微量瓣周漏
LuX-Valve Plus經血管三尖瓣置換系統此次“出海”圓滿完成,術后Rodrigo Estévez-Loureiro教授對LuX-Valve Plus經血管三尖瓣置換系統的器械性能和治療效果大為稱贊,認為LuX-Valve Plus的手術體驗非常好。術后即刻超聲顯示三尖瓣反流幾乎完全消失,血流動力學改善顯著,患者恢復快。在面對復雜解剖結構、超聲影像質量不佳、有起搏導線干擾時,Lux-Valve Plus也體現了極強的適應性。Thomas Modine教授和Anson Cheung教授也肯定了LuX-Valve Plus術中操作的便捷性,認為LuX-Valve Plus容錯率高,對術中影像的依賴較小,后期希望可以更多的應用LuX-Valve Plus三尖瓣置換系統于臨床實踐,讓更多的三尖瓣重度反流患者盡早獲益,改善預后。
LuX-Valve Plus經血管三尖瓣置換系統是我國擁有完全自主知識產權的心臟瓣膜介入治療產品,在全球范圍內率先引用“非徑向支撐力”和“室間隔固定”的設計理念(即采用貼靠支撐和室間隔錨定的方式進行人工瓣膜的固定),能更好適應三尖瓣結構菲薄脆弱的特性,并且采用經頸靜脈入路的方式,對患者的損傷進一步減小。目前,LuX-Valve Plus全國多中心FIM研究已全部完成入組,LuX-Valve Plus全國多中心確證性臨床研究已開始患者入組;此外,LuX-Valve Plus全球救治性臨床研究已成功在美國、加拿大、法國、德國、西班牙開展,并還在持續推進中,我們相信更多的三尖瓣重度反流患者將因此獲益。